• guanajuato
  • leon
  • celaya
  • irapuato
  • superdeportivo
  • SOY FIERA
  • espectaculos
  • SUCESOS
  • opinion
  • hidalgo
Saltar al contenido
Iniciar Sesión Suscríbete /día

Buscar

Iniciar sesion
Periódico AM

Periódico AM

Suscríbete /día
Círculo AM Epaper AM
  • guanajuato
  • leon
  • celaya
  • irapuato
  • superdeportivo
  • SOY FIERA
  • espectaculos
  • SUCESOS
  • opinion
  • hidalgo
Home » Nuevo León » Página 59

Etiqueta:Nuevo León

Publicado ennews

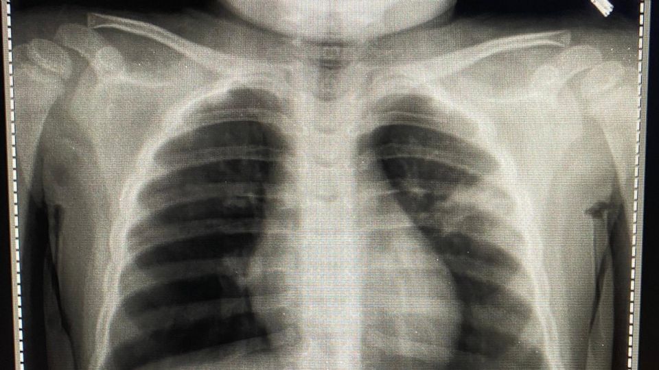
Contagios de COVID radiografía de sus pulmones. Doctor muestra pulmones de bebé de 2 años dañados por COVID, “empezó con diarrea”

por Noé Laguna30 agosto, 2021
Publicado enespectaculos

Mariana Rodríguez llora la muerte de su perrita Pantera y se hace viral (VIDEO)

por Dolores Huizache29 agosto, 2021
Publicado ennews

COVID: empresas en Nuevo León sufren regreso a la oficina por contagios

por Redacción AM22 agosto, 2021
Publicado ennews

Lluvias en Nuevo León: mueren ahogados dos menores motociclistas tras ser arrastrados por río 

por Horacio López Lobato17 agosto, 2021
Publicado ennews

Asesinato en San Pedro Garza García, Nuevo León: guardia de seguridad mata a un empleado en cochera de vivienda de Fuentes del Valle

por Horacio López Lobato14 agosto, 2021
Publicado ensuperdeportivo

Monterrey: disparan contra jugadores; agresores iban vestidos como futbolistas

por Redacción AM14 agosto, 2021
Publicado ennews

VIDEOS Fuerte incendio en Santa Catarina, Nuevo León, en empresa Protexa tras explosión

por Horacio López Lobato11 agosto, 2021
Publicado enopinion

Oposición creativa

por Enrique Gómez Orozco10 agosto, 2021
Publicado ennews

Río Ramos en Nuevo León: crece corriente y rescatan a 25 personas en Allende

por Redacción AM6 agosto, 2021
Publicado ennews

Monterrey: Cristina Elizabeth Vázquez mide 2 metros, padece gigantismo, tiene 32 años vive en la colonia Niño Artillero

por Horacio López Lobato30 julio, 2021

Paginación de entradas

Publicaciones más nuevas 1 … 57 58 59 60 61 … 81 Publicaciones más antiguas
© 2025 Periódico AM Powered by Newspack