• guanajuato
  • leon
  • celaya
  • irapuato
  • superdeportivo
  • SOY FIERA
  • espectaculos
  • SUCESOS
  • opinion
  • hidalgo
Saltar al contenido
Iniciar Sesión Suscríbete /día

Buscar

Iniciar sesion
Periódico AM

Periódico AM

Suscríbete /día
Círculo AM Epaper AM
  • guanajuato
  • leon
  • celaya
  • irapuato
  • superdeportivo
  • SOY FIERA
  • espectaculos
  • SUCESOS
  • opinion
  • hidalgo
Home » VACUNAS » Página 59

Etiqueta:VACUNAS

Publicado ennews

Xi Jinping, China: Donará vacunas contra COVID para todo el mundo, 2,000 millones de dosis, Sinopharm, Sinovac

por Redacción AM6 agosto, 2021
Publicado ennews

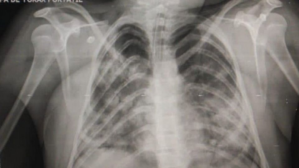
COVID en niños: así afecta los pulmones de niño de 13 años con Síndrome de Down

por Horacio López Lobato4 agosto, 2021
Publicado ennews

Hugo López-Gatell, Ciudad de México: 48 millones han sido vacunados, 97% de hospitalizados por COVID no han sido vacunados en tercera ola

por Redacción AM3 agosto, 2021
Publicado ennews

Estados Unidos: Exigen en Nueva York certificado de vacunación contra COVID para acceso a restaurantes, teatros, gimnasio

por Redacción AM3 agosto, 2021
Publicado enespectaculos

Marco Antonio Solís “El Buki” alienta a las personas a vacunarse por medio de su cuenta de Twitter

por Redacción AM1 agosto, 2021
Publicado ennews

COVID en el Mundo, tercera ola: Rompe récord de internados

por Redacción AM1 agosto, 2021
Publicado ennews

Ciudad de México: Variante delta de COVID en niños, vacunas, SIPINNA

por Redacción AM31 julio, 2021
Publicado ennews

Europa: Niños y jóvenes prioridad en vacunación contra COVID en algunos países

por Redacción AM31 julio, 2021
Publicado ennews

Vacunas COVID en México: niega juez a menor de 16 años vacuna contra el Coronavirus   

por Horacio López Lobato28 julio, 2021
Publicado ennews

Vacunas COVID: Ayudan a mexicanos sin visa a cruzar a EU para vacunarse contra el Coronavirus  

por Horacio López Lobato27 julio, 2021

Paginación de entradas

Publicaciones más nuevas 1 … 57 58 59 60 61 … 64 Publicaciones más antiguas
© 2025 Periódico AM Powered by Newspack